腰痛竟是脊椎長痛風石 花蓮慈濟醫院脊椎微創手術治療
(中央社訊息服務20251113 12:09:52)
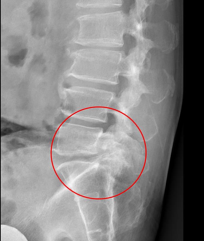
49歲居住於臺東的張先生,過去一年多飽受腰痛與右腳麻痛困擾,尤其夜晚常痛到睡不著,隨著疼痛逐漸加劇,張先生從臺東被轉介來到花蓮慈濟醫院。花蓮慈院神經脊椎微創外科主任洪祥益診斷,張先生有第五節腰椎椎弓骨折合併脊椎解離的問題,在進行脊椎微創手術治療過程中,發現張先生的脊椎關節內竟布滿「痛風石」,這正是造成異常劇痛的原因。
張先生回憶,一年多前開始出現腰痛與腳麻情形,「有時痛、有時不痛,但常常半夜3、4點會痛醒,根本睡不好。」原以為只是工作疲勞所致,直到疼痛越來越明顯、無法繼續忍受,甚至影響日常活動。一直到轉介到花蓮慈院,經過醫療團隊手術治療後,術後疼痛明顯緩解,右腳麻痛大幅改善,當天即可下床行走,讓張先生直呼:「找對醫生了!」
影像檢查顯示,張先生的第五節腰椎椎弓骨折合併脊椎解離。洪祥益主任表示,這類病人多半表現為腰痠背痛、久坐久站困難,通常可先藥物治療觀察,但相較於其他類似問題的病人,張先生疼痛異常明顯,手術中發現脊椎關節內長滿痛風石,這些痛風石如白色黏稠物般,附著在神經與關節縫隙間,若不清乾淨,就會持續引發神經發炎與疼痛,甚至比坐骨神經痛更強烈。團隊透過顯微鏡,在不傷及神經的情況下,仔細將痛風石刮除清理,再以微創固定融合手術完成治療。
手術後,張先生開心表示:「原本以為要和腰痛共處一輩子,沒想到手術後就不痛了!」他感恩洪醫師及團隊的專業與細心,讓他不僅擺脫長期疼痛,也能再次安心睡好覺、恢復日常活動。
洪祥益主任提醒,許多民眾以為痛風只會影響手腳關節,其實「只要有關節的地方,都可能生成痛風石」,脊椎也不例外。洪祥益主任表示,臨床經驗發現花東地區民眾痛風比例偏高,有可能是地理環境與飲食文化的影響,飲食中常攝取海鮮、甲殼類食物,每年都能遇到在脊椎手術中意外發現痛風石的個案。
他呼籲,若為長期痛風患者,更要定期追蹤尿酸值,並與內科醫師討論藥物控制與飲食調整,避免痛風石沉積於關節造成發炎或壓迫神經,導致無法忍受的神經痛。洪祥益醫師也說,只要找出真正的原因並對症治療,就能重拾健康與笑容。


